Orthopedic Surgery at Valley West Veterinary Hospital
When your pet is hurting, it affects everything — their ability to walk, play, and enjoy life. At Valley West Veterinary Hospital, we offer advanced orthopedic surgical care to treat a wide range of joint and bone issues in dogs and cats.
From cranial cruciate ligament (CCL) tears to luxating patellas and fracture repairs, our experienced team is here to help your pet heal and move comfortably again.
Our Orthopedic Services Include
Cranial Cruciate Ligament (CCL) Repairs
CCL tears are among the most common orthopedic injuries in dogs, similar to ACL injuries in humans. These injuries cause pain, instability, and lameness in the hind leg. We offer surgical repair options tailored to your pet’s size, breed, and activity level.
Signs of a CCL injury include:
- Sudden limping or lameness
- Difficulty standing or walking
- Swelling near the knee
- Decreased activity or reluctance to play
Luxating Patella Surgery
A luxating patella occurs when the kneecap slips out of place, leading to discomfort and an abnormal gait. This condition is often seen in small breed dogs but can affect pets of any size.
Surgical correction can:
- Restore proper kneecap alignment
- Relieve pain and inflammation
- Prevent long-term joint degeneration
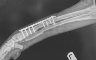
Fracture Repairs
Broken bones require timely, specialized care. We perform internal and external fracture repairs using advanced techniques such as pins, plates, or external fixators, depending on the location and severity of the fracture.
Signs of a fracture may include:
- Inability to bear weight on a limb
- Swelling, bruising, or visible deformity
- Pain or sensitivity when touched
Femoral Head Ostectomy (FHO)
FHO surgery involves removing the femoral head (the “ball” part of the hip joint). This procedure is often recommended for pets with severe hip dysplasia, arthritis, or hip fractures that cannot be repaired. By eliminating the painful joint contact, FHO allows pets to regain mobility and comfort.
Benefits of FHO surgery include:
- Reduction or elimination of hip pain
- Improved mobility and activity levels
- Effective option for small to medium-sized dogs and cats
Why Choose Valley West for Orthopedic Surgery?
- Experienced surgical team with advanced orthopedic training
- On-site digital radiography and lab diagnostics
- Clean, modern surgical suite with advanced monitoring
- Focused pain management and post-operative support
- Compassionate, personalized care for every patient
From diagnosis through recovery, we are committed to supporting your pet with safe, effective, and compassionate care every step of the way.
Schedule a Consultation
If your pet is struggling with mobility or showing signs of joint or bone pain, don’t wait. Orthopedic issues can worsen over time, but early intervention can lead to better outcomes and a more comfortable life.
